PHẪU THUẬT CẤP CỨU THÀNH CÔNG CA TỤ MÁU DƯỚI MÀNG CỨNG TẠI BỆNH VIỆN ĐKKV MÓNG CÁI
Vào lúc 08 giờ sáng ngày 01/01/2026, ê-kíp phẫu thuật và gây mê hồi sức của Bệnh viện ĐKKV Móng Cái, với sự hỗ trợ chuyên môn của bác sĩ Ngoại Thần kinh Bệnh viện Đa khoa tỉnh Quảng Ninh, đã tiến hành phẫu thuật lấy khối máu tụ dưới màng cứng hai bên cho bệnh nhân. Ca phẫu thuật diễn ra an toàn, thuận lợi.
Ngày 31/12/2025, Bệnh viện Đa khoa Khu vực Móng Cái (Cơ sở 1) tiếp nhận một bệnh nhân nam, 81 tuổi, nhập viện trong tình trạng đau đầu nhiều, yếu hai chi dưới. Qua khai thác bệnh sử, bệnh nhân có tiền sử chấn thương vùng đầu cách thời điểm nhập viện khoảng 3 tuần.
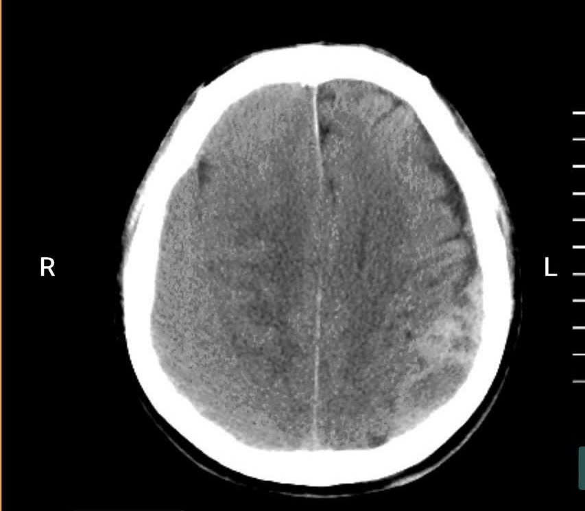
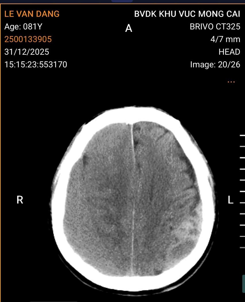
Qua thăm khám lâm sàng và thực hiện chụp cắt lớp vi tính sọ não, các bác sĩ phát hiện bệnh nhân bị tụ máu dưới màng cứng bán cấp hai bên với số lượng nhiều. Đây là tình trạng bệnh lý nguy hiểm, cần can thiệp phẫu thuật cấp cứu. Bệnh viện đã tổ chức hội chẩn với chuyên khoa Ngoại Thần kinh – Bệnh viện Đa khoa tỉnh Quảng Ninh, đồng thời hoàn thiện các xét nghiệm cần thiết và thống nhất chỉ định phẫu thuật lấy khối máu tụ trong sọ cho người bệnh.


Hình ảnh chụp cắt lớp vi tính sọ não
Vào lúc 08 giờ sáng ngày 01/01/2026, ê-kíp phẫu thuật và gây mê hồi sức của Bệnh viện ĐKKV Móng Cái, với sự hỗ trợ chuyên môn của bác sĩ Ngoại Thần kinh Bệnh viện Đa khoa tỉnh Quảng Ninh, đã tiến hành phẫu thuật lấy khối máu tụ dưới màng cứng hai bên cho bệnh nhân. Ca phẫu thuật diễn ra an toàn, thuận lợi.






Một số hình ảnh trong ca phẫu thuật
Sau ca phẫu thuật kéo dài 6 giờ, bệnh nhân đã tỉnh táo, tiếp xúc tốt. Các triệu chứng đau đầu giảm rõ rệt, không xuất hiện tình trạng nôn. Đáng chú ý, sức cơ hai chi dưới cải thiện rõ rệt so với trước mổ. Các chỉ số sinh tồn hiện ổn định. Bệnh nhân đã được rút ống nội khí quản và đang thở oxy qua gọng mũi. Hiện tại, bệnh nhân tiếp tục được theo dõi và chăm sóc tại Khoa Ngoại của bệnh viện.


Bệnh nhân dần phục hồi sau phẫu thuật
Theo bác sĩ Vũ Thế Cầu – Trưởng khoa Ngoại, tụ máu dưới màng cứng là tình trạng máu tích tụ dần trong khoang giữa màng cứng và màng não, thường xuất hiện từ 3 đến 14 ngày sau chấn thương đầu. Bệnh thường gặp ở người cao tuổi, người có tiền sử chấn thương nhẹ hoặc đang sử dụng thuốc chống đông. Các triệu chứng thường tiến triển âm thầm như đau đầu, lú lẫn, yếu liệt, rối loạn ý thức nên dễ bị nhầm lẫn với các bệnh lý khác. Đây là bệnh lý nguy hiểm, nếu không được chẩn đoán và can thiệp phẫu thuật kịp thời có thể dẫn đến hôn mê, liệt nặng hoặc tử vong.
Thành công của ca phẫu thuật đã góp phần cứu sống người bệnh, đồng thời khẳng định năng lực chuyên môn, khả năng tiếp nhận và triển khai các kỹ thuật chuyên sâu trong lĩnh vực phẫu thuật thần kinh của Bệnh viện ĐKKV Móng Cái. Qua đó, thể hiện hiệu quả của công tác phối hợp, chuyển giao kỹ thuật giữa các tuyến, góp phần giảm tải cho tuyến trên và nâng cao chất lượng khám, chữa bệnh, chăm sóc sức khỏe nhân dân trên địa bàn.


